研载生物科技(上海)有限公司

8

手机商铺

qrcode
商家活跃:
产品热度:
  • NaN
  • 0.5
  • 1.5
  • 0.5
  • 3.5

研载生物科技(上海)有限公司

入驻年限:8

  • 联系人:

    刘经理

  • 所在地区:

    上海 闵行区

  • 业务范围:

    细胞库 / 细胞培养、技术服务

  • 经营模式:

    生产厂商 科研机构

在线沟通

公司新闻/正文

你的外泌体电镜照片,能发表高分文章吗?

3579 人阅读发布时间:2019-02-26 18:54

导语

外泌体(exosomes)是活细胞分泌的直径约为 30-150nm 的膜性囊泡。外泌体的鉴定一般主要有三种方法:电镜、粒径和 Western blot。而作为其鉴定金标准之一的电镜,想获得好的结果,却并不容易。尤其是千辛万苦打出来的电镜照片,到底是不是外泌体?能否用到文章里?这是困扰多数外泌体研究人员的问题。

先放一张外泌体大牛 Thery 阿姨的经典外泌体电镜图片镇楼。
你的外泌体电镜照片,能发表高分文章吗?

大牛不愧是大牛。Thery 阿姨打出来的外泌体电镜照片为明显的茶托状或一侧凹陷的半球状。许多外泌体研究朋友跟湾湾反馈,老板就是想要这样的照片,做了多少次电镜检测了,但始终没有一张能让老板满意的外泌体电镜照片,并开玩笑道这张图片简直是 “万恶之源”。但,想拍出这样完美的电镜照片,真的……靠缘分的。

那么,究竟什么样的外泌体电镜照片,可以达到发表 SCI 的标准呢?

我们先来看看 10 分以上杂志里外泌体电镜照片。
你的外泌体电镜照片,能发表高分文章吗?
PANC 细胞外泌体(Hypoxic tumor-derived exosomal miR-301a mediates M2 macrophage polarization via PTEN/PI3Kγ to promote pancreatic cancer metastasis)
你的外泌体电镜照片,能发表高分文章吗?
肝癌细胞外泌体电镜图(Tumor-derived exosomal miR-1247-3p induces cancer-associated fibroblast activation to foster lung metastasis of liver cancer)

再来看看 6-10 分杂志的外泌体电镜照片
你的外泌体电镜照片,能发表高分文章吗?
 
骨髓间充质干细胞外泌体电镜图(Exosomes from Glioma-Associated Mesenchymal Stem Cells Increase the Tumorigenicity of Glioma Stem-like Cells via Transfer of miR-1587)
 
你的外泌体电镜照片,能发表高分文章吗?
3T3 细胞的电镜图(Adipocyte-Derived Exosomal MiR-27a Induces Insulin Resistance in Skeletal Muscle Through Repression of PPARγ)
 
你的外泌体电镜照片,能发表高分文章吗?
人骨髓瘤细胞系外泌体电镜结果(Exosome-mediated transfer of lncRUNX2-AS1 from multiple myeloma cells to MSCs contributes to osteogenesis)
你的外泌体电镜照片,能发表高分文章吗?
尿源干细胞外泌体电镜图(Exosomal DMBT1 from human urine-derived stem cells facilitates diabetic wound repair by promoting angiogenesis)

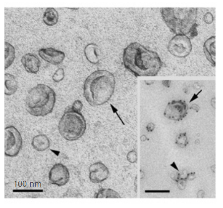
是不是觉得跟自己的电镜照片差不多?有没有对自己的电镜照片有了信心

研载生物提供专业的外泌体相关服务,包括外泌体提取、鉴定(电镜、Nanosight 及 Western blot)、外泌体染色、共孵育、外泌体相关细胞功能等服务。助力您的高分文章发表。

来看看公司最新拍的一些案例图片吧

 
 你的外泌体电镜照片,能发表高分文章吗?
 
祝大家都能获得好看的外泌体电镜照片,顺利发表 Paper~
 
进一步了解可点击查看:https://www.biomart.cn/infosupply/75132596.htm

上一篇

这篇简单的外泌体耐药研究竟然发了 8 分多的杂志

下一篇

2019年春节放假通知

更多资讯

我的询价