研载生物科技(上海)有限公司

8

手机商铺

qrcode
商家活跃:
产品热度:
  • NaN
  • 0.5
  • 1.5
  • 0.5
  • 3.5

研载生物科技(上海)有限公司

入驻年限:8

  • 联系人:

    刘经理

  • 所在地区:

    上海 闵行区

  • 业务范围:

    细胞库 / 细胞培养、技术服务

  • 经营模式:

    生产厂商 科研机构

在线沟通

公司新闻/正文

功能性外泌体介导的阿霉素和疏水修饰的microRNA 159共递送,可用于三阴性乳腺癌治疗

1390 人阅读发布时间:2020-02-24 14:54

目前有大量数据表明外泌体可作为内源性载体,输送治疗药物,但其不能靶向特定细胞的问题限制了其功能的发挥,由第二军医大学长海医院和上海交大九院联合做的一项研究,于20199发表在J Nanobiotechnology杂志上,该研究表明使用含有A15蛋白(能特异性结合整合素αveβ3Exo,装载DoxCho-miRNA159后,在体内外具有治疗三阴性乳腺癌的作用。

文章链接:https://www.ncbi.nlm.nih.gov/pmc/articles/PMC6721253/

技术路线
功能性外泌体介导的阿霉素和疏水修饰的microRNA 159共递送,可用于三阴性乳腺癌治疗

研究结果:
1.Exo复合物的表征
PMA50ng/ml)处理THP-1细胞后再培养2-3天,细胞可释放富含A15Exo,此Exo可依据A15上的RGD基序结合整合素αvβ3(在BC细胞上高表达)。超离提取未用和用PMA处理的THP-1细胞上清液中的Exo,通过TEMNTAWestern blot给予鉴定(图1A-C);且发现相同THP-1细胞数量存在时,PMA处理组分泌的Exo浓度高些(图1D)。
功能性外泌体介导的阿霉素和疏水修饰的microRNA 159共递送,可用于三阴性乳腺癌治疗
功能性外泌体介导的阿霉素和疏水修饰的microRNA 159共递送,可用于三阴性乳腺癌治疗
1  DoxCho-miR159装载的A15-Exo的表征

2.DoxCho-miRNA159的装载和释放
Exo装载DoxCho-miRNA(胆固醇修饰)后对外泌体的整体形态影响不大(图1A),但A15-Exo/Cho-miR159zeta电位有所下降,可能是由于Cho-miR154带负电荷(图1E)引起的。Dox载入A15-Exo中的量取决于孵育时Dox的使用浓度,如图1F 所示,1ug A15-Exo200ug/ml Dox孵育时表现出最大的载量(160ng)。
37℃ pH5.0(晚期胞内体和溶酶体环境)时,Co-A15-ExoDoxCho-miR159均装载的A15-Exo)释放的Dox达到90.5%,而pH 7.4(生理环境)时仅55.3%(图1G)。表明Dox的释放具备pH依赖性。
如图1H所示,Cho-miRNA装载到A15-Exo中的效率与miRNA浓度密切相关,miRNA浓度为4nmol/mL时,miR159装载到A15-Exo中的效率约为1.2%,而Cho-miR159装载的效率为5.33%。同时作者使用IF证明DoxCy5-Cho-miRNA可被装载到Exo中;Cy5-Cho-miRNA组的荧光比Cy5-miRNA组强,说明胆固醇修饰利于Cy5-miRNA进入Exo内(图1I)。

3.A15-Exo的体外靶向
从图S1可用看出,A15-ExoMDA-MB-231摄入量多于其他组,而α v β 3表达低的MCF-7摄取Exo/A15-Exo量很少。且与Exo相比,在A15-Exo组观察到荧光信号在细胞表面聚集。另外FCM分析发现A15-ExoExo更有效地与MDA-MB-231细胞和B16细胞结合(图2A-C)。表明采用A15作为配体结合表达整合素α vβ 3细胞,提高了外泌体的靶向作用。
功能性外泌体介导的阿霉素和疏水修饰的microRNA 159共递送,可用于三阴性乳腺癌治疗
功能性外泌体介导的阿霉素和疏水修饰的microRNA 159共递送,可用于三阴性乳腺癌治疗
2   ExoA15-Exo介导的DoxCy5-Cho-miR159的内化

功能性外泌体介导的阿霉素和疏水修饰的microRNA 159共递送,可用于三阴性乳腺癌治疗
S1  MDA-MB-231MCF-7摄取PKH67标记的Exo/A15-Exo情况

4.Cho-miRNA159Dox被细胞摄取
如图2B,C所示,通过FCM分析发现MDA-MB-231细胞内化35.48±1.72A15-Exo / Dox99.55±0.18A15-Exo / Cy5-Cho-miRNAB16细胞中76.43±3.92A15-Exo / Dox99.53±0.67A15-Exo / Cy5-Cho-miRNA。说明通过A15-Exo递送,细胞可以有效内化DoxCho-miRNA159。另IF表明MDA-MB-231B16细胞可通过摄取A15-Exo,获得其携带的Dox和Cy5-Cho-miRNA159(图3A,B)。
功能性外泌体介导的阿霉素和疏水修饰的microRNA 159共递送,可用于三阴性乳腺癌治疗
3   PKH67标记的载药ExoA15-ExoMDA-MB-231B16细胞摄取IF

5.在体外载药ExoA15-Exo对三阴性乳腺癌的治疗效果
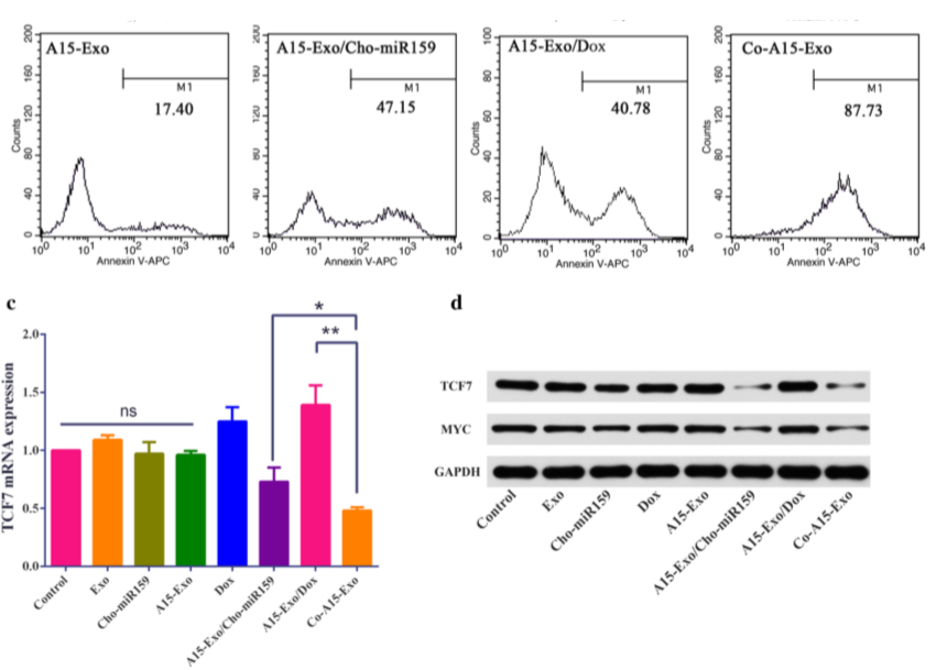
CCK8分析培养基、ExoCho-miR159DoxA15-ExoA15-Exo / Cho-miR159A15-Exo / DoxCo-A15-ExoMDA-MB-231细胞活力的影响,发现与其他组相比,Co-A15-Exo能显著抑制细胞存活(图4A)。与Dox治疗组相比,在A15-Exo / Dox治疗组中检测到细胞凋亡增加Cho-miR159组和A15-Exo / Cho-miR159组也分别显示了约28.26%和47.15%的凋亡, Co-A15-Exo组效果最佳(图4B)。
基于TCF7miR-159的靶基因,通过qRT-PCR分析,Co-A15-Exo显著下调细胞中TCF7的表达,并逆转Dox对细胞中TCF7的上调作用(图4C)。并通过Western blot分析TCF7MYC在蛋白质水平均在miR-159存在下被下调(图4D)。表明A15-Exo携带的DoxCho-miR159能在体外发挥抑制三阴性乳腺癌细胞的增殖存活作用。
功能性外泌体介导的阿霉素和疏水修饰的microRNA 159共递送,可用于三阴性乳腺癌治疗
功能性外泌体介导的阿霉素和疏水修饰的microRNA 159共递送,可用于三阴性乳腺癌治疗
4   Co-A15-Exo的体外抗肿瘤效果

6.体内实验分析Co-A15-Exo抑制肿瘤的功能
在小鼠体内建立异种移植瘤后,给与Cy5-Cho-miRNAExo-Cy5-Cho-miRNAA15-Exo-Cy5-Cho-miRNA处理,发现A15-Exo-Cy5-Cho-miRNA处理组的肿瘤区域有大量荧光,而另外两组的荧光信号主要在肝脏和肾脏中(图5A)。表明A15-Exo将携带的miRNA靶向性递送至肿瘤组织中。
    另,如图5B-E所示,与其他组相比,肿瘤的体积和重量在Co-A15-Exo处理下明显减少,且对小鼠的毒性较小,增加小鼠的存活率。
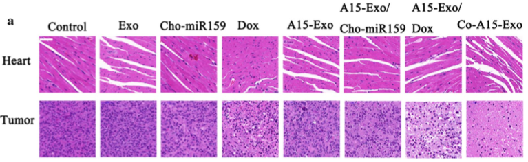
    HE实验分析发现游离Dox会引起心肌损伤,但通过使用A15-Exo携带Dox处理可显著减低Dox的心脏毒性(图6A)。同时肿瘤组织在Co-A15-Exo治疗后坏死更明显;ExomiR159处理后瘤中CD31高表达,而Co-A15-Exo处理组显著降低了CD31的水平(图6B);Ki67阳性细胞在Co-A15-Exo处理组也明显低于其他组。同时Co-A15-Exo处理组的肿瘤中TCF7MYC的表达亦受到下调。表明Co-A15-Exo对肿瘤细胞增殖有抑制作用,抑制肿瘤的血管形成,促进肿瘤细胞坏死。
功能性外泌体介导的阿霉素和疏水修饰的microRNA 159共递送,可用于三阴性乳腺癌治疗
功能性外泌体介导的阿霉素和疏水修饰的microRNA 159共递送,可用于三阴性乳腺癌治疗
功能性外泌体介导的阿霉素和疏水修饰的microRNA 159共递送,可用于三阴性乳腺癌治疗
5  Co-A15-Exo在体内的生物分布和抗肿瘤效果
功能性外泌体介导的阿霉素和疏水修饰的microRNA 159共递送,可用于三阴性乳腺癌治疗
功能性外泌体介导的阿霉素和疏水修饰的microRNA 159共递送,可用于三阴性乳腺癌治疗
6  免疫组化分析

总结:
本文作者通过孵育的方式将DoxCho-miRNA共装载到富含A15蛋白的Exo中,并通过一系列实验确认载有化疗药物DoxCho-miRNAA15-Exo具有更好的靶向和治疗三阴性乳腺癌的作用,此研究为促进天然纳米治疗药物的研发提供了支持。
功能性外泌体介导的阿霉素和疏水修饰的microRNA 159共递送,可用于三阴性乳腺癌治疗

上一篇

人参来源的EVs改变巨噬细胞极化以抑制黑色素瘤的生长

下一篇

外泌体lncRNAZFAS1通过microRNA-24/STAT3调控食管鳞状细胞癌细胞的增殖、侵袭、迁移和凋亡

更多资讯

我的询价