研载生物科技(上海)有限公司

8

手机商铺

qrcode
商家活跃:
产品热度:
  • NaN
  • 0.5
  • 1.5
  • 0.5
  • 3.5

研载生物科技(上海)有限公司

入驻年限:8

  • 联系人:

    刘经理

  • 所在地区:

    上海 闵行区

  • 业务范围:

    细胞库 / 细胞培养、技术服务

  • 经营模式:

    生产厂商 科研机构

在线沟通

公司新闻/正文

来自冬凌草素预处理的MSC的外泌体通过自噬激活抑制细胞凋亡减轻心肌缺血/再灌注损伤

1159 人阅读发布时间:2021-12-08 09:41

       心肌缺血具有高死亡率和发病率。治疗缺血的主要方法是再灌注。科学上,一些研究表明,接收经皮冠状动脉介入治疗或主动脉搭桥手术的患者对心肌缺血/再灌注(IR)损伤的敏感性增强。特别是再灌注会导致心血管组织损伤,这可能比缺血本身严重的多,可能是由活性氧的过度产生、细胞内Ca2+超载已经再灌注心律失常引起的。
        外泌体EXO)是一组直径在30-150nm之间的囊泡样小体,由间充质干细胞(MSCs)分泌。最近的研究表明,源自MSCs的外泌体可以促进空间学习的功能恢复,增强神经血管重塑,如神经发生和血管生成,并降低TBI后动物的神经炎症严重程度。先前有研究表明源自MSCs的外泌体可能会降低心肌梗塞的严重程度,并减少IR损伤引起的肝损伤。
       自噬已被证明在调节IR诱导的心肌细胞凋亡中起关键作用。自噬是受损细胞器和蛋白质降解的过程。自噬的过度激活导致过多的自我消化以及重要细胞元素的降解,引发程序性细胞死亡。事实上,已证实心肌IR损伤过程中可激活自噬,导致心肌细胞死亡,而自噬的下调可减少IR损伤诱导的心肌细胞死亡,提示自噬可能是探索作为治疗心肌IR损伤的靶点。
      冬凌草素(ORI)是从冬凌草中分离出来的一种二萜类化合物,据报道参与各种生物活性的调节。冬凌草素处理可以产生各种影响,包括激活自噬以及调节多种癌细胞的凋亡信号。之前的研究也表明,许多因子,如ERKAktFASNF-κBROSRTK以及PI3K,都与冬凌草素的抗肿瘤特性有关。据报道,骨髓间充质干细胞(BMMSCs)来源的EXOs可通过激活自噬保护心肌缺血/再灌注损伤。此外,冬凌草素可以增强自噬的激活。因此,本研究旨在探讨BMMSCs衍生的EXOsIR损伤中的分子作用机制,以及冬凌草素在治疗IR损伤中的作用。该研究发表于Journal of cellular and molecular medicine (IF: 5.310)杂志上。

      首先,从BMMSCs中提取外泌体(超速离心法),并通过透射电镜、western blotCD36, CD81AliX鉴定分离的外泌体,发现外泌体被成功从BMMSCs中分离;并且DC63, CD81AliX的表达在外泌体组(BMMSCs-EXOsBMMSCs-EXOs-ORI)中高于BMMSCs组。
外泌体1.png
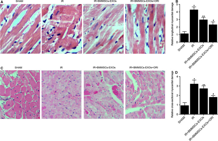
       为了研究BMMSCs衍生的外泌体对IR诱导的心肌损伤的影响,IR大鼠模型被建立,然后用BMMSCs-EXOsBMMSCs-EXOs+ORI进行处理。HETUNEL测定以观察BMMSCs衍生的外泌体对IR诱导的心肌损伤的影响。心肌组织纵切或横切的HE结果表明,在IR+BMMSCs-EXOsIR+BMMSCs-EXOs+ORI组中,应用BMMSCs衍生的外泌体可抑制IR诱导的心肌损伤的进展,并且冬凌草素预处理增强了BMMSCs-EXOs的保护作用。
外泌体2.png
      随后,TUNEL染色试验表明,与假手术组相比,IR组的凋亡细胞数量显著增加,而BMMSCs衍生的外泌体减少了IR大鼠的凋亡细胞数量,且ORI预处理的外泌体具有更显著的效果。同样,Masson染色检测到的纤维化变化也显示出与细胞凋亡相似的趋势。此外,当观察BMMSCs来源的外泌体对心功能的影响时,发现心率、LVSPLVFSLVEFLVWTIR大鼠中均升高,而BMMSCs衍生的外泌体给药恢复了这些心功能参数的下调。值得注意的是,冬凌草素预处理增强了BMMSCs来源的外泌体对心脏功能的影响。
外泌体3.png
       之后,为了研究BMMSCs-EXOs以及BMMSCs+EXOs+ORI在体内保护IR损伤的潜在分子机制,western blot被用来检测Beclin-1, ATG13, Apaf1以及凋亡有关蛋白的表达。结果发现:Beclin-1, ATG13Bcl2IR大鼠中显著下调。然而,IR诱导的Beclin-1, ATG13Bcl2下调可通过施用BMMSCs-EXOs减轻,并且冬凌草素的预处理增加了BMMSCs-EXOs的作用。同时,Apaf1Bax的水平在IR组中最高,而BMMSCs-EXOs的存在部分降低了IR诱导的Apaf1Bax上调。此外,Ki67IHC染色也表明BMMSCs衍生的外泌体给药阻碍了IR大鼠Ki67的显著下调,而冬凌草素的预处理增强了这些外泌体的作用。
外泌体4.png
      接着,H9c2心肌细胞被用来在体外建立缺氧/复氧(HR)模型,然后用BMMSCs-EXOsBMMSCs-EXOs+ORI处理,进一步在体外验证外泌体及冬凌草素的作用。细胞实验的结果表明HR组中EdU阳性细胞的比例降低,BMMSCs-EXOs处理则增加了EdU阳性细胞的比例,冬凌草素预处理增加了BMMSCs-EXOs的作用。另外,H9c2细胞的凋亡率在HR组中最高,对照组中最低。
外泌体5.png

      接着,Western blot结果显示:在H9c2细胞中,HR下调了Beclin-1, ATG12Bcl-2的表达,并且通过施用BMMSCs-EXOs减轻了HR的影响。用冬凌草素预处理BMMSCs-EXOs促进了BMMSCs-EXOs对上述蛋白质表达的影响。此外,在H9c2细胞中,在HR + BMMSCs-EXOsHR + BMMSCs-EXOs + ORI组中,BMMSCs-EXOs部分降低了HR诱导的Apaf1Bax的上调。
外泌体6.png
       综上,本研究证明了BMMSCs衍生的外泌体通过抑制细胞凋亡和促进自噬保护心肌细胞免受缺血再灌注损伤,而冬凌草素预处理通过进一步促进自噬激活增强BMMSCs衍生的外泌体的保护作用。
 
参考文献:Exosomes derived from MSC pre-treated with oridonin alleviates myocardial IR injury by suppressing apoptosis via regulating autophagy activation. Journal of cellular and molecular medicine. 2021 Jun; 25(12): 5486-5496. 
 

上一篇

骨髓间充质干细胞+外泌体+siRNA=1 区 SCI

下一篇

循环外泌体通过传递miR-193a-5p修复内皮细胞损伤

更多资讯

我的询价