研载生物科技(上海)有限公司

8

手机商铺

qrcode
商家活跃:
产品热度:
  • NaN
  • 0.5
  • 1.5
  • 0.5
  • 3.5

研载生物科技(上海)有限公司

入驻年限:8

  • 联系人:

    刘经理

  • 所在地区:

    上海 闵行区

  • 业务范围:

    细胞库 / 细胞培养、技术服务

  • 经营模式:

    生产厂商 科研机构

在线沟通

公司新闻/正文

m6A甲基化介导的WTAPP1上调通过WTAP转录和WNT来促进胰腺癌进展

1363 人阅读发布时间:2021-10-11 13:39

【关键词】m6A甲基化、假基因、WTAPP1WNT、胰腺癌
外泌体1.png
【摘要】假基因在癌症中可能发挥重要作用,本文讨论了WTAPP1在胰腺导管癌(PDAC)进展中的机制和功能。WTAPP1与胰腺癌预后负相关,体内外实验证实WTAPP1促进PDAC的增殖和侵袭,其内在机制主要是m6A甲基化稳定了WTAPP1RNA,促进WTAP的翻译,激活WNT信号通路并引发了PADC恶性表型。
【前言】胰腺导管癌(PADC)目前仍然是最致命的恶性肿瘤之一,最近研究表明假基因产生的RNA在许多类型的癌症中发挥重要的调节作用。由假基因产生的RNA被认为是lncRNA 的一个子类,它从蛋白质编码基因发展而来,但含有多个突变,这些突变使得他们无法向功能性蛋白质翻译。然而越来越多的证据表明,假基因产生的RNA可能在转录或转录后水平调节其蛋白质编码对应物。RNA在成熟过程中发生大量修饰,其中N6-甲基腺苷是最丰富的RNA修饰,而由假基因产生的RNAm6A修饰及其作用在PADC中报道较少,因此本研究报道了WTAPP1产生的m6A修饰的RNA可促进胰腺癌的进展。
【结果】
      首先利用RNA-seq技术筛选配对的胰腺癌和正常组织中差异表达的假基因,依据差异倍数挑选10个做后续研究。分别用siRNA干扰后检测对细胞增殖和迁移的影响,最终只有WTAPP1对胰腺癌细胞增殖和迁移有影响。利用临床数据和TCGA数据库验证WTAPP1与患者分期和预后的关系。
外泌体2.png
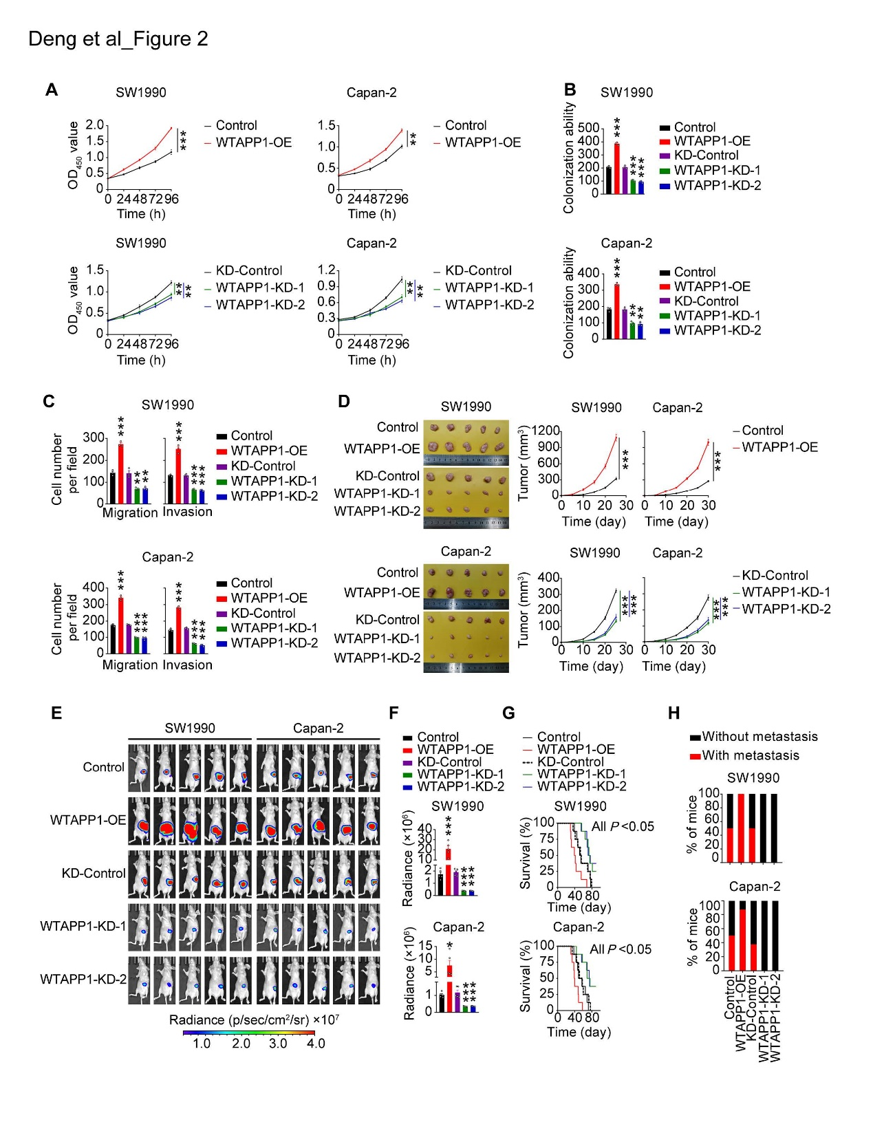
      在胰腺癌细胞系中分别过表达和敲低WTAPP1检测其对细胞增殖、迁移、侵袭的影响,并且在皮下种植瘤模型中加以验证。
外泌体3.png
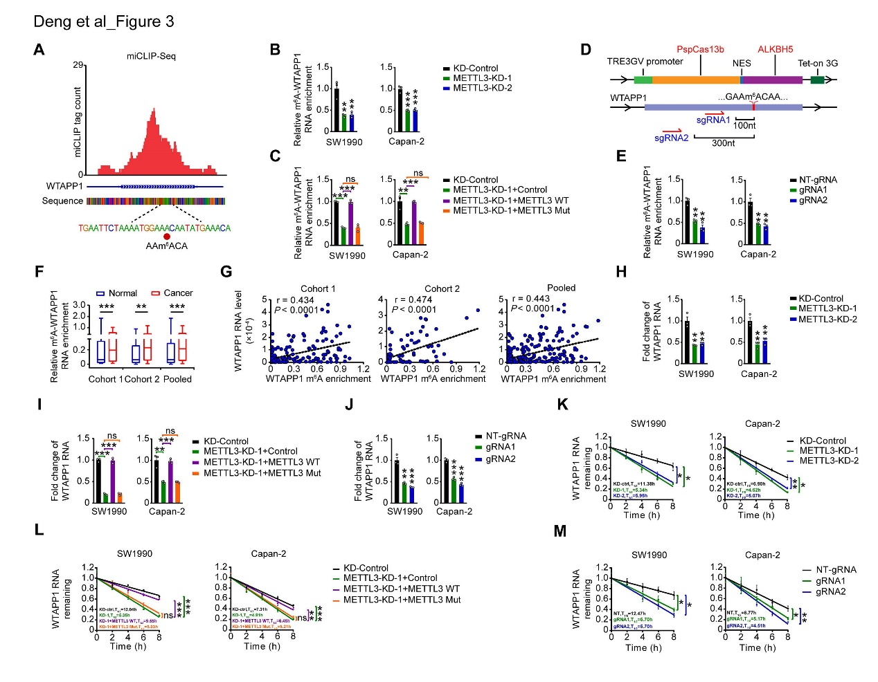
      进一步探究WTAPP1在胰腺癌中过表达的原因,筛选中未发现WTAPP1启动子区域有结合位点,因而推测是否为m6A修饰影响RNA稳定性进而影响其表达水平。MiCLIP-seq筛选出了WTAPP1m6A结合位点,进而在细胞系中进行验证,随后在临床标本中也证实m6A-WTAPP1RNA水平显著高于正常组织且与预后负相关。
外泌体4.png
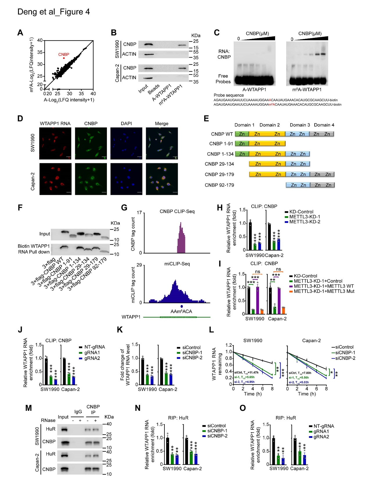
      m6A的沉积需要reader来识别和处理修饰的RNA,因此对WTAPP1m6A-WTAPP1 RNA pull down后获得的蛋白进行质谱分析,经细胞系验证后表明CNBP结合m6A-WTAPP1,随后构建截短的CNBP来检测WTAPP1结合的结构域,随后通过点突变实验进行验证。
外泌体5.png
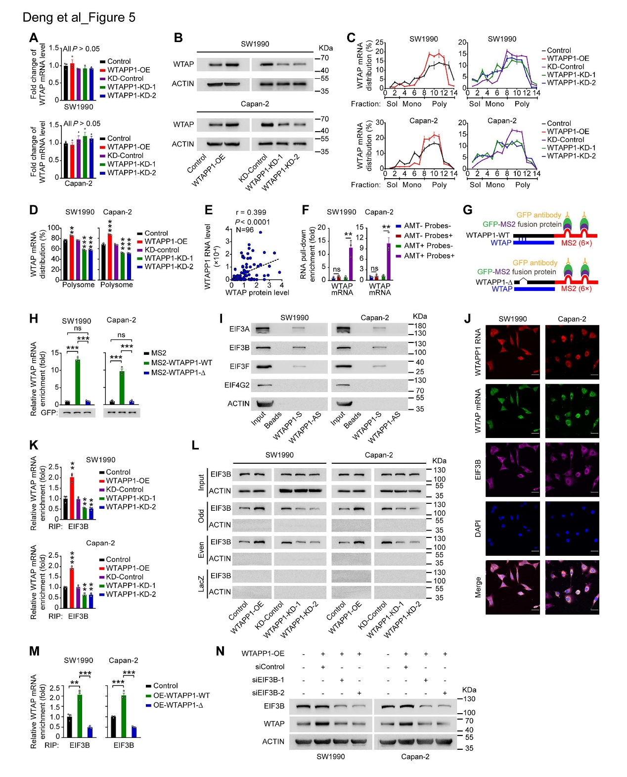
      研究WTAPP1过表达后的下游分子机制,因此首先检测了WTAPmRNA和蛋白水平,而且检测了临床样本中的表达数据,结果表明WTAP蛋白水平显著上调。随后证实了WTAPP1可与WTAP上的位点结合促进WTAP的翻译。
外泌体6.png
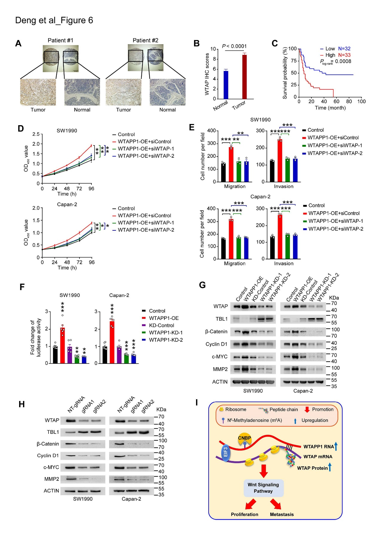
       临床数据中验证WTAP与预后负相关,且WTAPP1与临床预后的相关性取决于WTAP蛋白的表达。细胞系中敲低WTAPP1检测相关通路富集的变化,结果表明WTAPP1通过增加WNT通路相关信号来促进胰腺癌的进展。
外泌体7.png
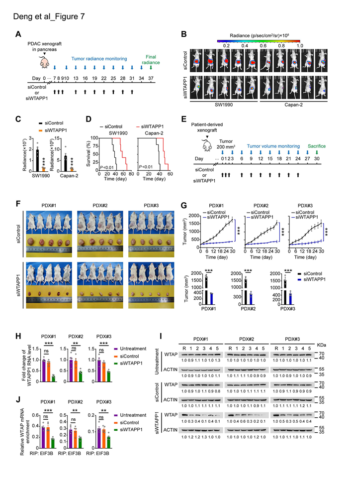
       构建WTAPP1过表达的原位模型来验证WTAPP1作为治疗靶点的潜力。siWTAPP1可显著抑制胰腺癌的生长,表明了WTAPP1可作为治疗靶点。
外泌体8.png

上一篇

脊髓损伤后运动皮层的铁过载诱导神经细胞死亡

下一篇

HIF1α通过上调自噬减缓压力诱导的髓核来源干细胞凋亡

更多资讯

我的询价