9 年
手机商铺
公司新闻/正文
1599 人阅读发布时间:2024-05-14 12:05
小分子药物载药(超声法)
一、实验流程
1.超声法载药
2.HPLC检测:HPLC检测小分子药物装载效率。
3.外泌体鉴定
(1)粒径和电位检测:粒径检测外泌体的大小和电位。
(2)电镜检测:透射电镜检测外泌体的形态。
(3)WB检测:检测外泌体指标CD9/CD81/CD63/TSG101/HSP70等表达情况。
4. 外泌体稳定性实验:放置-80℃前后的粒径大小及电位变化。(可选做)
5. 外泌体释放实验:比如将新鲜制备的ExoPTX在室温下置于PBS中搅拌,取不同时间点的上清,HPLC分析。(可选做)
二、示例图:

图一:外泌体载药前后鉴定结果透射电镜结果;粒径结果;Western blot结果;电位结果

图二:小分子药物HPLC检测结果
三、参考文献:
[1] Wang P, Wang H, Huang Q, Peng C, Yao L, Chen H, Qiu Z, Wu Y, Wang L, Chen W. Exosomes from M1-Polarized Macrophages Enhance Paclitaxel Antitumor Activity by Activating Macrophages-Mediated Inflammation. Theranostics. 2019 Feb 28;9(6):1714-1727. doi: 10.7150/thno.30716. PMID: 31037133; PMCID: PMC6485189.
[2] Liu H , Shen M , Zhao D , et al. The Effect of Triptolide-Loaded Exosomes on the Proliferation and Apoptosis of Human Ovarian Cancer SKOV3 Cells[J]. BioMed Research International, 2019, 2019:1-14.
[3] Kim MS, Haney MJ, Zhao Y, et al. Development of exosome-encapsulated paclitaxel to overcome MDR in cancer cells. Nanomedicine. 2016 Apr;12(3):655-664.
小分子药物载药(混合载药法)
一、实验流程
1.混合法载药
2.HPLC检测:HPLC检测小分子药物装载效率。
3.外泌体鉴定
(1)粒径和电位检测:粒径检测外泌体的大小和电位。
(2)电镜检测:透射电镜检测外泌体的形态。
(3)WB检测:检测外泌体指标CD9/CD81/CD63/TSG101/HSP70表达情况。
4. 外泌体稳定性实验:放置-80℃前后的粒径大小及电位变化。(可选做)
5. 外泌体释放实验:比如将新鲜制备的ExoPTX在室温下置于PBS中搅拌,取不同时间点的上清,HPLC分析。(可选做)
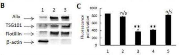
二、示例图:

图一:外泌体western blot结果和荧光偏振结果
三、参考文献:
[1]Kim MS, Haney MJ, Zhao Y, et al. Development of exosome-encapsulated paclitaxel to overcome MDR in cancer cells. Nanomedicine. 2016 Apr;12(3):655-664.
外泌体多肽修饰
一、技术简介
所述蛋白多肽类药物包括但不限于:胰岛素、胰岛素类似物、奥曲肽醋酸亮丙瑞林、降钙素、胸腺五肽、促黄体生成素释放激素、醋酸替可克肽、布舍瑞林、艾塞那肽、胰高血 糖素样肽-1、醋酸曲普瑞林、白细胞生长因子、红细胞生长因子、巨噬细胞生长因子、肿瘤坏 死因子、表皮生长因子、白细胞介素、血管生成抑制素、牛血清白蛋白、卵清蛋白、甲状旁腺 素、生长激素、生长抑素、干扰素、单克隆抗体和疫苗等。
二、实验流程
1.超声法修饰
2.试剂盒(比如BCA或ELISA)检测装载的及游离的多肽浓度,计算装载效率。
3.外泌体鉴定
(1)粒径和电位检测:粒径检测外泌体的大小和电位。
(2)电镜检测:透射电镜检测外泌体的形态。
(3)WB检测:检测外泌体指标CD9/CD81/CD63/TSG101/HSP70等以及多肽蛋白等表达情况。

图一:(A)负载能力;(B)负载效率;(C)FPLC图谱结果;(D)Western blot结果;(E)NMR图谱结果;(F)透射电镜结果。
四、参考文献:
[1] 四川大学.一种包载蛋白多肽类药物外泌体的口服递送系统:CN202010531190.5[P]. 2020-08-25.
[2] Shen AR, Jin XX, Tang TT, Ding Y, Liu XT, Zhong X, Wu YD, Han XL, Zhao GY, Shen CL, Lv LL, Liu BC. Exosomal Vaccine Loading T Cell Epitope Peptides of SARS-CoV-2 Induces Robust CD8+ T Cell Response in HLA-A Transgenic Mice. Int J Nanomedicine. 2022 Jul 29;17:3325-3341. doi: 10.2147/IJN.S367494. PMID: 35937077; PMCID: PMC9346304.
外泌体核酸(如siRNA、miRNA、质粒)载药
一、实验流程
1.超声法载药
2.QPCR检测载药效率
3.装载后转染目的细胞,QPCR、WB、流式检测功能。
4.外泌体鉴定
(1)粒径和电位检测:粒径检测外泌体的大小和电位。
(2)电镜检测:透射电镜检测外泌体的形态。
(3)WB检测:检测外泌体指标CD9/CD81/CD63/TSG101/HSP70等表达情况。
二、示例图:

图一:(A)粒径结果;(B)Western blot结果

图二:外泌体核酸负载效率

图三:(A)qPCR检测外泌体的敲低效率(靶细胞内);(B,C)Western blot检测外泌体的敲低效率(靶细胞内)

图四:(A)流式法验证外泌体装载效率(靶细胞内)
三、参考文献:
[1] Lamichhane TN, Jeyaram A, Patel DB, Parajuli B, Livingston NK, Arumugasaamy N, Schardt JS, Jay SM. Oncogene Knockdown via Active Loading of Small RNAs into Extracellular Vesicles by Sonication. Cell Mol Bioeng. 2016 Sep;9(3):315-324. doi: 10.1007/s12195-016-0457-4. Epub 2016 Jul 7. PMID: 27800035; PMCID: PMC5084850.
[2] Geng Y, Long X, Zhang Y, Wang Y, You G, Guo W, Zhuang G, Zhang Y, Cheng X, Yuan Z, Zan J. FTO-targeted siRNA delivery by MSC-derived exosomes synergistically alleviates dopaminergic neuronal death in Parkinson's disease via m6A-dependent regulation of ATM mRNA. J Transl Med. 2023 Sep 22;21(1):652. doi: 10.1186/s12967-023-04461-4. PMID: 37737187; PMCID: PMC10515429.
外泌体大分子(如壳寡糖)载药
一、实验流程
1. 将EVs与COS等体积混合,并在37℃下振荡孵育混合物1hr,然后120000×g离心60min后。
2.外泌体鉴定
(1)粒径和电位检测:粒径检测外泌体的大小和电位。
(2)电镜检测:透射电镜检测外泌体的形态。
(3)WB检测:检测外泌体指标CD9/CD81/CD63/TSG101/HSP70等表达情况。
二、示例图:

图一:外泌体载药前后鉴定结果 透射电镜结果;粒径结果;western blot结果

图二:外泌体示踪结果
三、参考文献:
[1] Li S, Liu J, Liu S, Jiao W, Wang X. Chitosan oligosaccharides packaged into rat adipose mesenchymal stem cells-derived extracellular vesicles facilitating cartilage injury repair and alleviating osteoarthritis. J Nanobiotechnology. 2021 Oct 26;19(1):343. doi: 10.1186/s12951-021-01086-x. PMID: 34702302; PMCID: PMC8549296.